图知网
搜索
首页
热门推荐
图片分类
刘政文主治医师
下载原图
相关图片
案例分享# 后牙6颊侧龋坏,去腐备洞,用树脂进行修复.
蛀牙
颊侧窝沟龋的形成
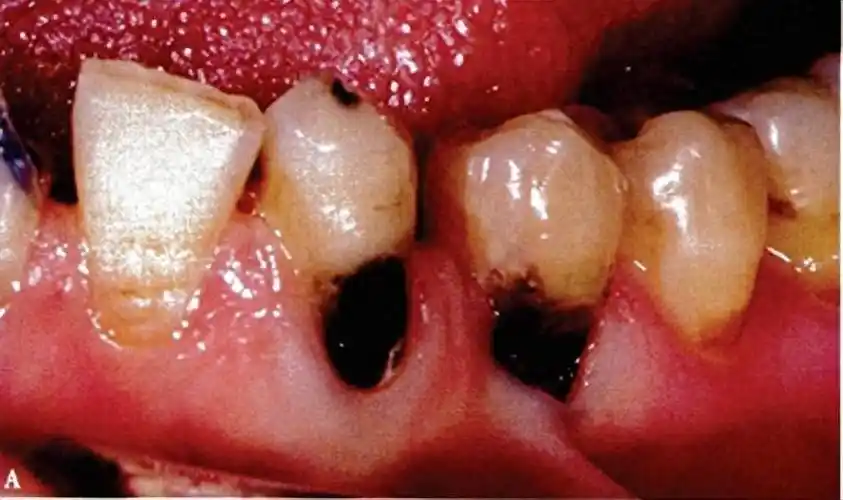
图注:根面龋 图片源自人民卫生出版社第五版《牙体牙髓病学》或产生根
冲牙器适合哪些人群?邻面龋牙周炎矫正期可以使用吗?
牙医学堂后牙邻面吻合龋的直接修复
为你推荐
宝宝学画画--病毒的样子
布偶猫
圆柱形容器
花式2021现代日历时尚设计模板
凹凸世界的安安可爱头像 安迷修的q版可爱头像 没有水印,需要的自取
太空宇宙简笔画教程太阳系儿童画
吉三代是全球第一个适用于丙肝所有基因型的单药制剂
儿童成人1000片木质拼图动漫卡通礼物可爱樱桃小丸子全家福包邮