图知网
搜索
首页
热门推荐
图片分类
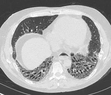
【病例讨论】蜂窝肺改变-迁延3个月,抗生素应用仍不见好转
下载原图
相关图片
蜂窝肺
少见病例,病史资料全,蜂窝肺,高手来帮着诊断一下.
【病例讨论】蜂窝肺专题,我也发一例 [病例帖]
【病例讨论】蜂窝肺改变-迁延3个月,抗生素应用仍不见好转
【影像读片】对于蜂窝肺的认识,您看看都是什么病,都有哪些征象
蜂窝肺的定义与探讨
为你推荐
快车贷"河南郑州品牌发布会圆满召开
批发三角木楔子膨胀木块斜木块摄像轨道木栓滑轨垫木木肖门堵门塞 100
荆州中心城区,首位度系统重塑!_大道_城市_项目
数学漫画.四宫格数学漫画.一年级
40年代张学良与赵四小姐的留影虽没倾国倾城配张学良绰绰有余
空车被判超重扣6分罚款500?交警告知后全国司机怒了:太过分!
黑镜 第一季
我的抖音生活日记秋天的童话照片转自微博