图知网
搜索
首页
热门推荐
图片分类
小儿肺炎好治吗
下载原图
相关图片
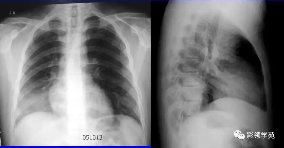
胸片如何看肺炎,这篇文章帮你立刻入门!
性男, 男岁,性6岁5咳嗽 月2咳嗽 ,咳月 3血 天 a天.
丁香园论坛>影像核医学>帖子详情>间质性肺炎x线表现:两肺门及中下
病例 1:同一小叶性肺炎患者于同日拍摄的胸片和肺 ct.
急求教以下病例怎样区分大叶性小叶性肺炎在线等谢谢
沿肺纹理有模糊的斑片状阴影.肺纹理增粗,模糊.x线表现
为你推荐
在黄晓明出生的时候,稳定的工作已经是她生活的一部分,所以即使她重视
动漫龙珠超七龙珠toppo高清壁纸
可爱的骆驼卡通孤立在白色的背景
迪迦奥特曼:不忘初心,方得始终!大古,一个普通人类的自我坚持
一年级读书手抄报简单
王者荣耀狂铁玩法攻略内容介绍
剪纸小兔子
中南大学铁道学院