图知网
搜索
首页
热门推荐
图片分类
医生追上门把病人"抓"回医院:她不及时处置会有生命危险
下载原图
相关图片
9.11电子胃镜检查结果 食管癌这里看一个真实的病例.文字不多说看图.
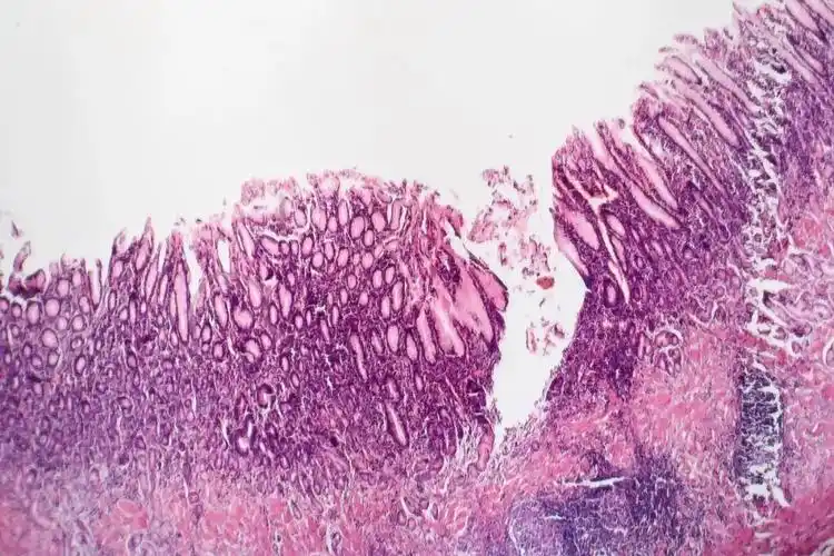
患者到海南省人民医院秀英留医部做胃镜等检查,显示结果为"慢性浅表性
美年大健康被指用冒牌医生体检 回应:遭遇黑公关
浅表性胃炎,数年或数十年后发展成为十二指肠溃疡,胃溃疡,慢性萎缩性
不是每个人都是孕妇,但每个人都可能遇到打孕妇的恶邻 |新京报快评
夫妻二人经常恶心,确诊胃溃疡,医生:平时常吃"1物",再强的胃也受不了
为你推荐
张柏芝与谢霆锋之间的恋情,让观众们或多或少有些"意难平".
郑伊健 #电影解说 #古惑仔
微信最火可爱小头像大全 想和你坠入浪漫的死循环
外面又冷又结霜.
手指印画
百年团史光辉历程手抄报
2石氏宗谱2卷首下英雄传赞捐款录修谱人员阅谱常识世系武威前75代碏公
【劳模】海默小天使做客ew解说贝茨旅馆(2016.06.09)