图知网
搜索
首页
热门推荐
图片分类
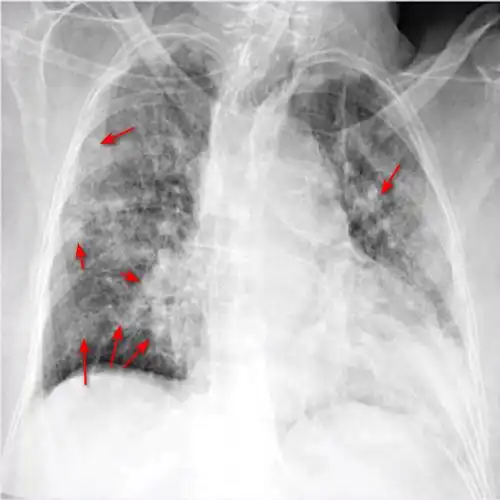
胸部x光图像
下载原图
相关图片
正常胸片x光
疑难问题,看看这张胸片
胸片的胸片作用
求助:喘憋,无胸痛症状,胸片是立位
再讲讲胸片里面的肺纹理增粗和斑片影
胸片一张,可以帮我判断一下心影吗?
为你推荐
为什么日本武士的发型是秃头造型
洗漱包男士出差旅行高档便携防水干湿分离浴兜洗漱袋化妆包收纳包
华晨宇壁纸不管遇到什么et天团永远都会在你身后
这7款纯色美甲,让你气质加倍,温柔显白!
水玉冰魄天然月光石原石毛料斯里兰卡蓝光手把雕刻把玩摆件
罗塞塔石碑(rosetta stone,也译作罗塞达碑),是一块制作于公元前196年
《好吃的汉堡包套餐》创意美术96.一,教学目标 1,通过参考 - 抖音
又嫩得像小姑娘