图知网
搜索
首页
热门推荐
图片分类
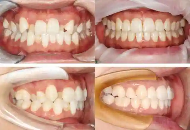
戴牙套带来的容貌上的大改观是一种怎样的体验
下载原图
相关图片
牙齿矫正前后对比图
戴牙套一年对比图
戴了一年的牙套快要毕业啦,看着自己脸型越变越好看,好期待最后的效果
深圳拜尔齿科 | 牙齿矫正可以改变脸型吗?
戴牙套的脸型变化图
35岁宝妈隐适美牙套三年后对比
为你推荐
240217王一博闪耀登场荣耀成为植村秀全球品牌代言人
原创原创41岁何琳近照曾被误传陈坤儿子生母多年婆婆是知名老戏骨
一个人可以扎的双麻花辫非常青春告别大妈形象
李沁太美了,黑色"古典裙"配上减龄麻花辫,美回18岁
墙绘
ins慵懒风壁纸高级感,ins风高级壁纸背景图(ins慵懒风,壁纸,温柔文案)
高颜值俊美帅气男生头像图片真人 男生神仙颜值头像
这些适合学生妹的7款发型,超好看又显脸小!