图知网
搜索
首页
热门推荐
图片分类
医学资料,用于学习 小叶性肺炎
下载原图
相关图片
小叶性(支气管)肺炎常见致病菌 假单胞杆菌,克雷伯杆菌,大肠杆菌
2 小叶性肺炎(支气管肺炎) 当病原体侵犯周围呼吸道上皮,引起支气管
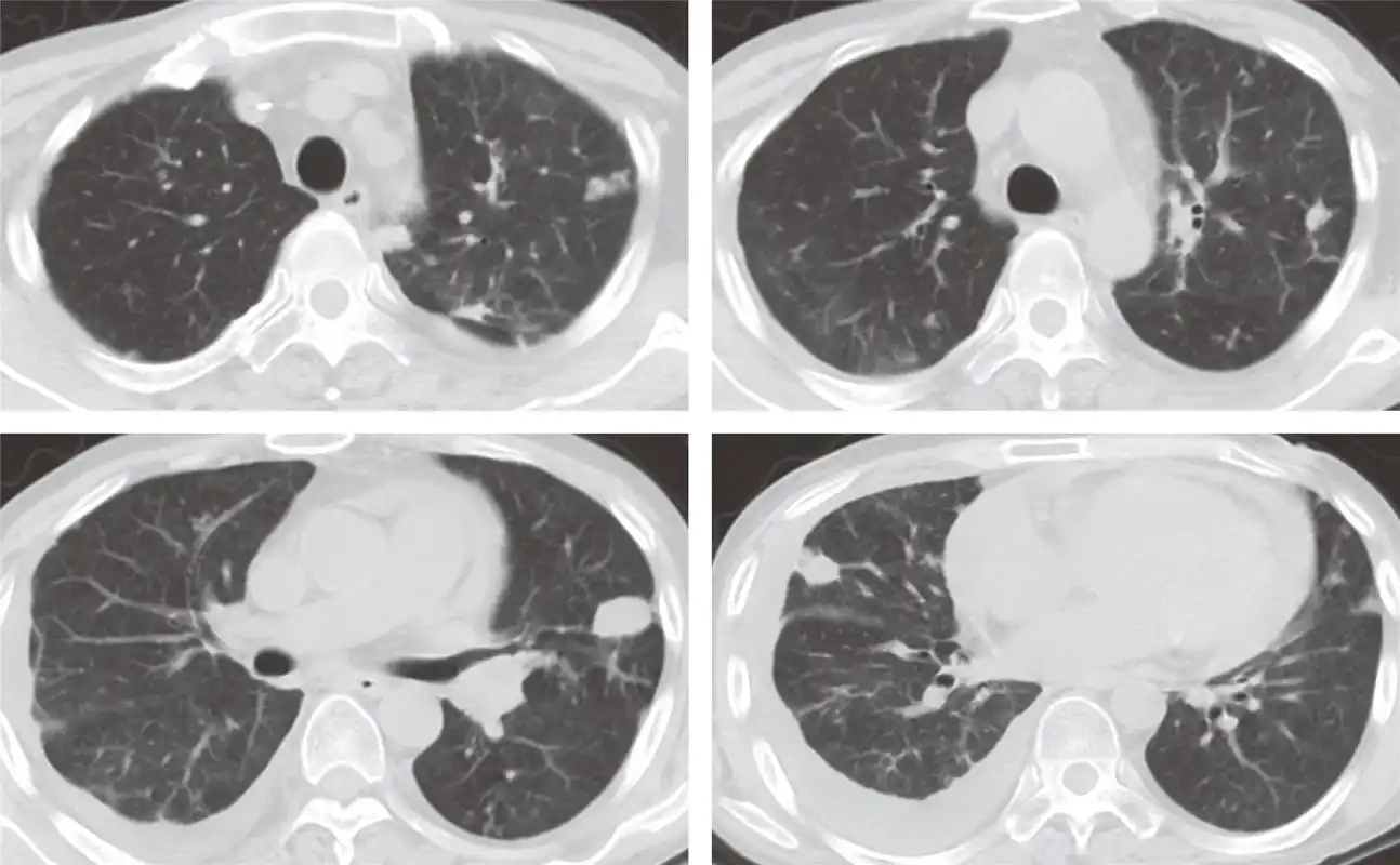
双肺支气管肺炎-ct图
双肺下叶多发树芽征,小叶中心结节灶麻疹病毒肺炎:双肺多发沿支气管
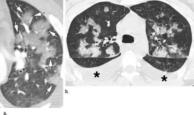
全小叶密度增高-磨玻璃影:(a)hrct 显示小叶性肺炎(支气管肺炎),左肺
在ct上表现有:又称为小叶性肺炎,多见于婴幼儿,老年人及免疫功能损害
为你推荐
阳光时尚卡其色休闲短裤
孩子高情商有哪些表现?_新闻动态_杨勤口才教育培训中心
因邋遢装扮走红,收获无数迷妹,粉丝得知他真实身份:错付了!
清个图库 - 半次元 - acg爱好者社区
清纯jk(动漫静态壁纸) - 静态壁纸下载 - 元气壁纸
陶喆磁带黑色柳丁|全新未拆封磁带-价格:10元-au35996831-磁带/卡带 -
遗像框老人相框12寸 遗像制作老人实木相框去世死人灵堂照片供奉寿相
惋惜今日上午南沙旧镇和东涌各一起车祸重型车把摩托车司机压在轮下