图知网
搜索
首页
热门推荐
图片分类
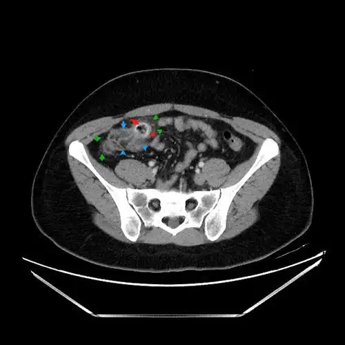
盲肠憩室炎ct表现分享,专科医生讲解,收藏学习!
下载原图
相关图片
容易被误诊的右下腹疼痛之盲肠憩室炎
事实上,阑尾炎盲肠憩室鉴别非常困难,为什么说阑尾炎,盲肠憩室鉴别
盲肠憩室
19外一科工作汇报 高龄男性,确诊小肠憩室的病人,辗转多家医院就诊,均
继续探查腹腔里的情况,发现升结肠靠近盲肠的地方,有个结肠憩室发炎了
容易被误诊的右下腹疼痛之盲肠憩室炎
为你推荐
2盒迷你可爱多冰淇淋甜筒雪糕香草草莓芒果3种冰淇淋
华为s3700-52p-pwr-ei三层48口百兆交换机
一言楠尽的石楠花开啦在申城这些地方可赏
暖暖环游世界 十二星座 【巨蟹座】
古风美女之狐妖
骏和 房屋装饰 铝挂落焊接 外墙铝挂落 金属铝挂落图片
王振威的演艺经历
【文轩】满糖时刻-河马的秘密河