图知网
搜索
首页
热门推荐
图片分类
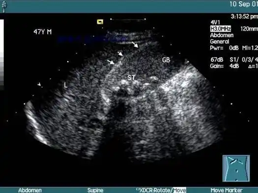
立竿见影精准排雷高危老年胆囊炎患者救治介入超声解难题
下载原图
相关图片
当胆囊急性发炎时,往往出现剧烈的上腹部或者右
我决心写下我的故事然后帮着宣传,如果大家也有胆结石或者胆囊炎的
最后不得不做切除胆囊手术确诊胆结石加胆囊炎后面去做了检查经常疼到
p data-id="gn585yxnzd">小儿胆道感染中急性胆囊炎与胆管炎(acute
全腹部ct检查(图1)①胆囊多发结石伴胆囊炎;胆囊底部见气液平面,胆囊
多发性胆结石
为你推荐
brokefold手写卡通可爱英文字体下载
恐龙世界2慈母龙宝宝不哭,认识不同恐龙以及他们的特点-母婴亲子视频
《星合之空》 - 「桂木真己」
绿色三角形符号标志符号矢量
赛罗奥特曼形态 儿童画,简笔画,赛罗奥特曼. 马克笔画
动漫 卡通 漫画 头像 690_690
一个人的伤感说说
图为南长涂沙滩