图知网
搜索
首页
热门推荐
图片分类
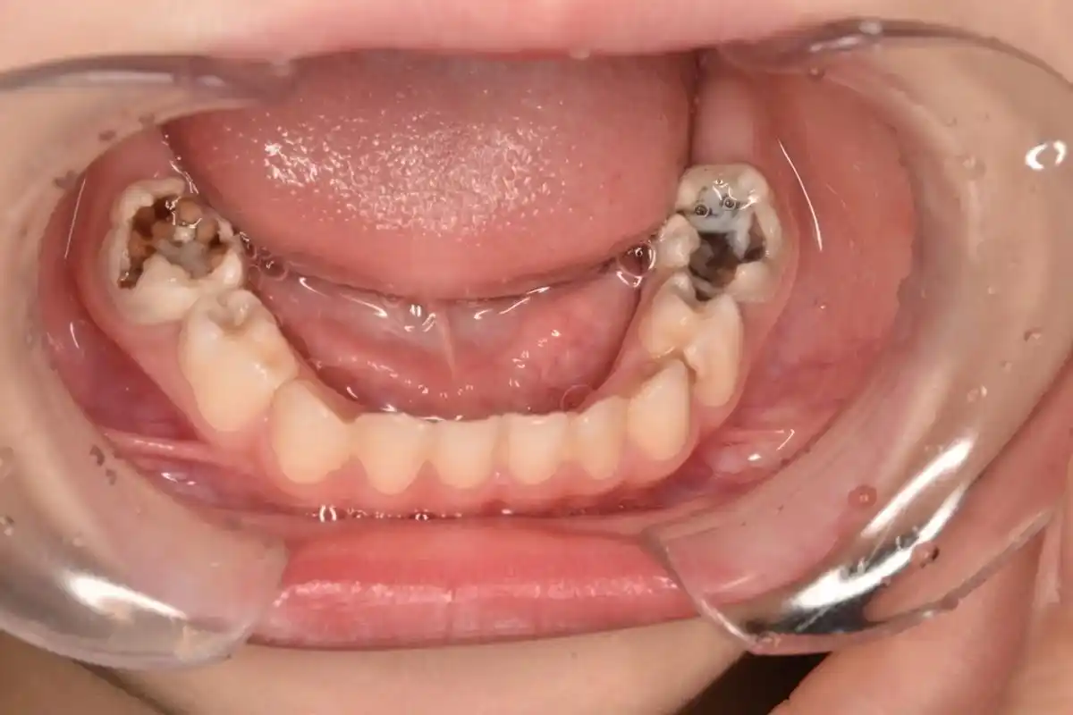
三岁孩子满嘴烂牙,罪魁祸首不是食物,而是一种宝宝必备的餐具
下载原图
相关图片
【健康知识】学龄前儿童龋病的早期预防_口腔_牙齿_风险
儿童蛀牙.非常厉害的蛀牙,首选活髓切断术,保留牙根部分的牙神 - 抖音
小孩蛀牙怎么办5岁儿童烂牙到底要不要补
雪贝卡(xuebeika)牙膏报价_参数_图片_视频_怎么样_问答-苏宁易购
蛀牙对儿童牙齿发育的危害,这里就不多说了,蛀牙形成的根源是口腔环境
女儿七岁,蛀牙这样严重,有什么办法缓解吗
为你推荐
头像女生动漫可爱小众 少女心爆棚_女生动漫头像_头像屋
作为中世纪教堂主要风格的哥特风格真的暗黑吗?
男士发型推荐渐变飞机头文山蒂梵尼美发设计中心阿豪
殷桃的花蕊夫人就像从仕女图里走出来一样
女童发育期吊带背心.【2件装】一阶段7-12岁女童发育期纯棉 - 抖音
白垩纪末期的顶尖猎食者,长15米重15吨,咬合力达到20万牛顿_恐龙_暴龙
百视慧通高清快速人脸识别系统终端机
2022中国航天10大成就