图知网
搜索
首页
热门推荐
图片分类
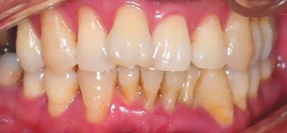
牙医却说:"这时病变已经破坏到牙本质浅层了,牙齿已经有龋洞形成,对
下载原图
相关图片
牙本质暴露的各种牙体疾病均可能导致敏感
牙齿分为三层,最外层是坚硬的牙釉质,不会感觉到疼痛;中间的牙本质
牙齿快烂了,是拔还是补?
这几天牙疼减少了很多,但是牙齿外侧长了瘤子
牙疼的几大因素下
浅龋和中龋 "补牙"即可当蛀牙的病变只是到达牙釉质层或牙本质层时,叫
为你推荐
剪头发的人
做事,就两个字,坚持.做人做事没有捷径,只有厚德才能载物.
线性的正方形粗略的无缝轮廓图案
大悟的妇女在建筑工地上怎样生活?
福州融侨外滩壹号闽江畔开启开学前最后打卡喜欢融侨外滩一号的艺术
python绘图编程练习
游关山 赏美景——户外运动强健体魄
幼儿园读书区文化墙绘本馆装饰阅览室环创墙贴班级图书角教室布置