图知网
搜索
首页
热门推荐
图片分类
鸡脂肪肝综合征
下载原图
相关图片
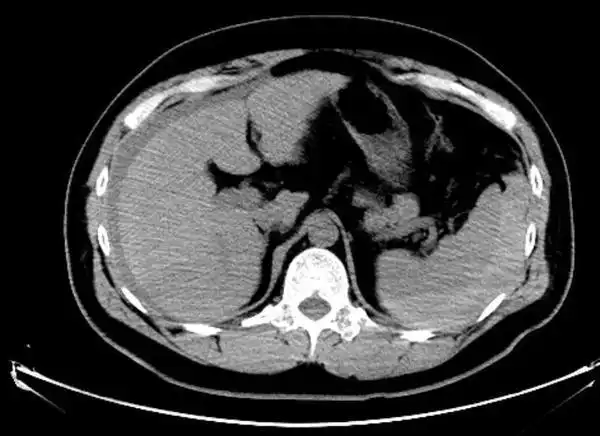
术前ct提示:脾破裂,肝周,脾脏周围积血手术过程中近年来,淄博市中心
warren手术治疗(图1),降低门静脉压力,控制食管胃底静脉曲张破裂出血
医生团队为徐阿姨紧急手术.
学生误吞6厘米长铆钉内镜下巧取化险为夷
42岁宝妈突然肝破裂…医生:这样带娃要不得,很多家长都在犯!
曝火风40岁时被认证活佛曾肝破裂缝77针
为你推荐
微商晚安心语图片加文字,图库-回车桌面
清新绿色护眼荷花壁纸
9折 迷你一口粽65g装*12个蜜枣馅小粽子白米粽碱水粽糯米粽酒店早餐
广东一枝花侯玉婷究竟有多美看看图片一目了然现在怎么样了
倩碧水磁场保湿粉水柔肤水精粹100ml200ml 400ml精华水无香无酒精
七龙珠卡通人物02krilin0202小林
东阳红木工厂的批发!
身残志坚的典范战士不过,落下残疾并未让王英洲离开自己热爱的军营,他