图知网
搜索
首页
热门推荐
图片分类
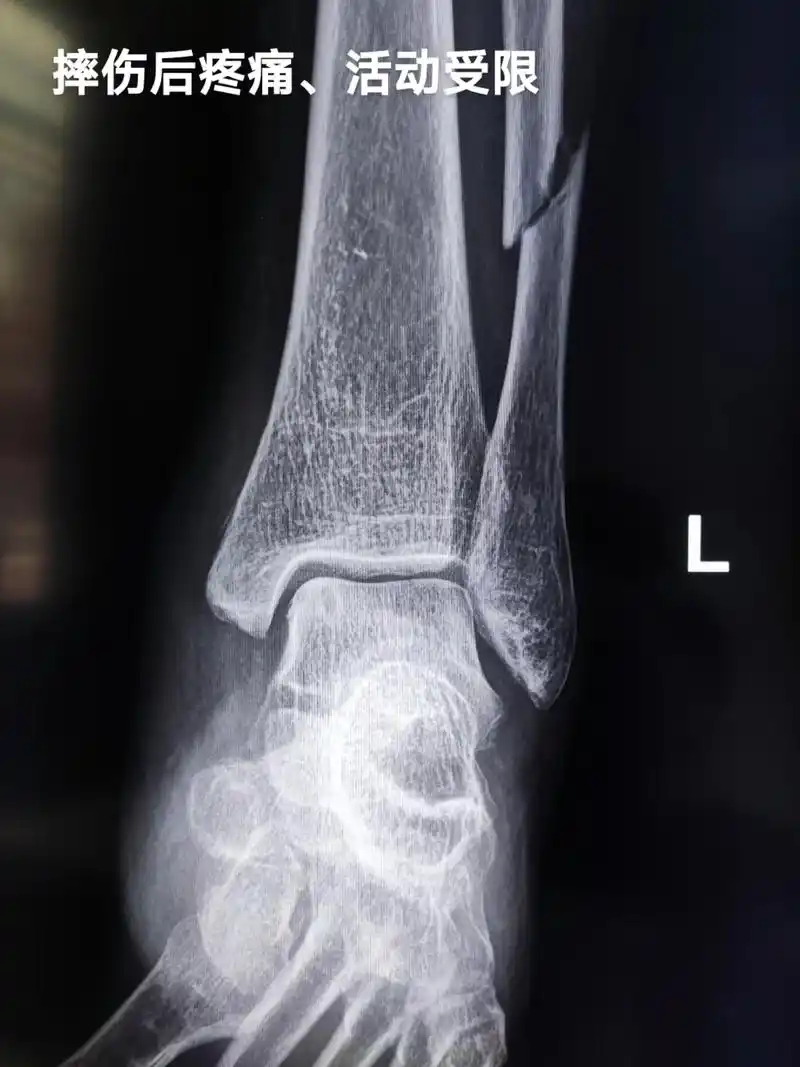
一例腓骨下极撕脱骨折
下载原图
相关图片
62岁腓骨下段粉碎性骨折锁定钢板系统内固定手术一例
医学影像 摔伤致左小腿下段疼痛,活动受限,x线见腓骨骨折, - 抖音
前段时间腓骨下端骨折了两个月后重新照片是这样的前一张是复查的
双胫腓骨下段粉碎性骨折求治疗方案
腓骨下段骨折踝关节半脱位
2岁小孩不慎被自行车碾压后致左胫腓骨下段骨折
为你推荐
沈腾头像高清图片大全名人沈腾真人头像大图下载点击鼠标右键下载
温柔风长袖真丝连衣裙春装女2024新款枫叶系带收腰显瘦桑蚕丝
18条适合纹身的英文短句
实锤了!海绵宝宝带妆出镜口红色号还是蓝珊瑚二号色!
爱的根源 歌谱简谱网
小和尚
处理一丛细铁叶.腾缸.