图知网
搜索
首页
热门推荐
图片分类
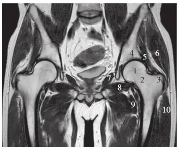
图解全身骨关节mri断层解剖大全
下载原图
相关图片
【收藏】髋关节x线解剖和摄影技巧
一文掌握正常髋关节mri解剖示意图
髋关节x线解剖摄影技术测量方法
全身常规x线,骨关节mri断层解剖大全|髋关节|横断面|颈段|腰段|冠状面
骨盆肌肉mri断层解剖
一文掌握正常髋关节x线解剖示意图
为你推荐
十字架,发光,基督教,绿色,自然,背景_高清图片_全景视觉
上学喜欢扎马尾辫,就给女儿这样扎,简单易学又好看
龙利鱼的身型较为大,并且肉厚刺儿少,主要生活在我国的东南沿海地带
中国设计院设计出来的农村,上海吴房村,被称为魔都的后花园|设计院
建军节军衔上士矢量图
读你千遍也不厌倦游不广为人知的翠微峰
73多图来自合集·niki阿寻lsazu·3 个月前呜呜呜俺终于复苏星之海
今日鲜花分享单头玫瑰旧时光