图知网
搜索
首页
热门推荐
图片分类
空气感中长发卷发,慵懒随意,女人味十足!
下载原图
相关图片
超流行的五款中长卷发
慵懒造型烫.中长发烫发 上班族,学生党压力大 生活累但是 - 抖音
2024流行"c型卷"烫发,中长发留超级美!_发型_什么_侵权
2024流行"c型卷"烫发,中长发留超级美!_发型_什么_侵权
今天我们来看一组夏季超人气中长发卷发发型图片,最近有考虑换发型
适合中长发的卷发 外翻中长发型最流行_女生卷发 - 美发站
为你推荐
幼儿园大班拼音连线图片素材打印
30到50岁女人端庄盘发技巧,发型优雅还百搭,很好学哦
部位情头最近我很烦我也很忙抱歉迟来的更新_情侣头像_我要个性网
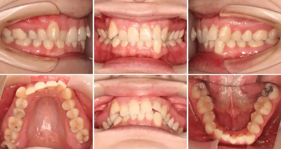
隐形矫正 扩弓,牙齿拥挤少女收获甜美笑容 - 贝致案例库 - 贝致
中年妈妈发夹婚礼妈妈盘头头饰结婚卡子中年优雅气质旗袍喜婆婆发夹
【无限滑板/乔樱】乔樱当年的那些破事(狗血误导向虐恋)
4斤云南临沧云县干米线纯大米制作养胃过桥米线正宗送酸菜袋装
2021年牛年喜庆卡通个性头像