图知网
搜索
首页
热门推荐
图片分类
【wallpainter汽车工场】梅赛德斯奔驰cls63 amg|纯艺术|素描|墙角
下载原图
相关图片
mercedes-benz exterior design director on sensual purity
【素描】铅笔画一辆汽车--梅塞德斯 slk mercedes
【jason】男人的梦想之车——手绘奔驰g63(2020)
手绘汽车手绘奔驰c级amg第二辑
今日画画奔驰g级
手绘奔驰迈巴赫s600
为你推荐
蒸饺设计图__psd分层素材_psd分层素材_设计图库_昵图网nipic.com
路卡利欧
乔丹
96 精致女生漫画头像大赏 94
幼儿简笔画涂色画
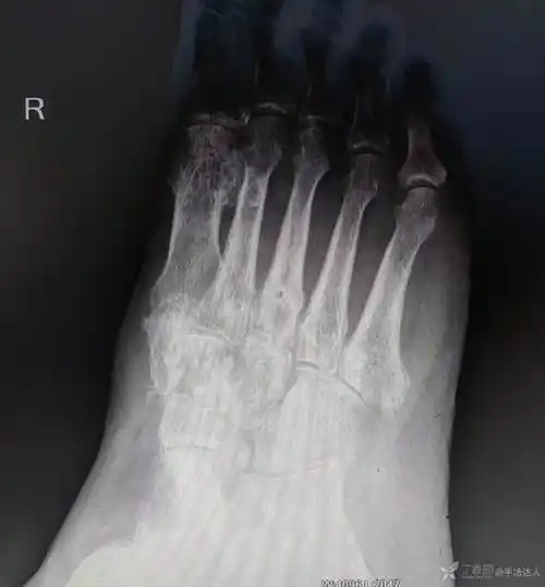
男48岁第一第二楔骨骨折术后半年有骨坏死需要进一步手术
不顾反对电视墙打满柜子装修完工后还没家具一家人都满意
05共赏天上月,一品工大情06嫦娥奔月07望08月圆工大09中秋月夜10玉兔