图知网
搜索
首页
热门推荐
图片分类
基坑,就是建构筑物的基础或地下室所需要开挖的地面以下的坑槽.
下载原图
相关图片
01,自然放坡
中铁二局城通公司琶洲支线项目部2020年11月一级方案执行情况美篇
[分享]车站基坑开挖方式资料下载
晴 一,现场主要施工情况 1,现场进行基坑第二层土方边坡开挖放坡使い
1#地下室基坑边坡按照1:1放坡
边坡防护塘厦旋喷桩加固公司台风新闻
为你推荐
再宽松的衬衫也遮挡不住傲人的上围
猫猫头像
算了吧
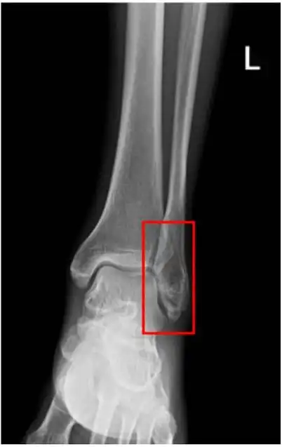
右侧胫腓骨远端似见横行骨折透亮线,断端对位对线尚可然而,一个优秀的
不露脸头像|不能让你满意,但我比谁都认真!_女生头像_我要个性网
毕业设计---《平凡的世界》唱片插画,唱片包装设计
浅谈汉朝十三州:为什么南方的几个州,各个都是"巨无霸"?
高达头像