图知网
搜索
首页
热门推荐
图片分类
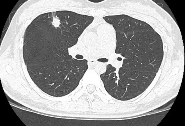
刘懿博士说肺癌二五九〇切之前知道俩肺结节是良性但不是一种病
下载原图
相关图片
肺结节的真实世界4 - 好大夫在线
大叔0.6厘米肺结节不放心上,3年没复查变晚期,结节可以不复查吗
多发肺结节患者为什么越来越多?
刘懿博士说肺癌(二亖一六)9毫米肺结节形态不规则,一定是肺癌么?
体检发现肺结节,一定是肺癌吗?
肺结节如何分辨,我手把手教你!
为你推荐
原创tvb富家女多面开花业务版图甜美身高成谜攒首付梦想启航
相比和平精英真实感较强的吃鸡游戏,人物身着婚纱进去战场,完全没有
胡一天又有新戏定档,甜剧直男追"艾"爆笑连连_艾情_李一桐_吴白
头给你打爆我鹦鹉兄弟今天就想打人鹦鹉兄弟小黄鸡卡通表情
一个人走的背影
仙气飘飘的紫色系壁纸
大众凌渡仪表盘指示灯图解,凌渡仪表盘故障灯图解_中华网汽车
外媒消息:苹果买下 billie eilish 纪录片版权