图知网
搜索
首页
热门推荐
图片分类
唯美的璀璨星空宇宙星辰图片桌面壁纸高清
下载原图
相关图片
浩瀚宇宙治愈星辰大海梦幻色系风景图
星辰壁纸图片
紫色星空夜空星辰繁星
星辰
夜空的星辰,是最美的
星辰图片大全
为你推荐
高通中端真不行了?骁龙 768g 测试对比 765g
丁海寅新剧connect 更新剧照.该剧将于12月上线 #丁 - 抖音
耳扣女小耳圈纯银韩国小耳朵jennie耳皮钉耳骨钉耳骨环迷你有耳洞
舟山册子岛月亮湾
1983年,李连杰英俊年轻,这张照片是在人民大会堂拍摄的.
屋面隔热砖. 屋面保温砖,尤其适用于农村自建房,自建小别墅 - 抖音
想亲娘
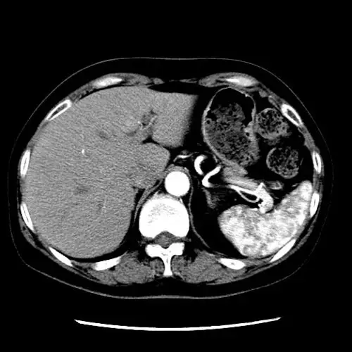
【求助】左肾积水(无功能),腹膜后一包快 [病例帖]