图知网
搜索
首页
热门推荐
图片分类
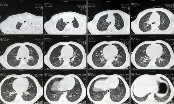
这2种肺结节,极易发展成肺癌!
下载原图
相关图片
还是结节性痒疹
身上长结节,其实就是气滞血瘀了!
三月份,乳腺结节不用再害怕了. - 抖音
肺部多发结节首先要考虑是否为转移性肺癌
28岁女教师查出1cm结节,4个月后消除,医生:做好三件事你也可以|结节
发现肺结节莫惊慌肺结节肺癌如何复查看这里
为你推荐
当下流行的色系自带高级感~就算素颜染完也有很明显的反白效果91
150172cm女生美体体重对照表如你已超标一定别不当回事
看了会脸红的禁欲系情侣头像图片
关晓彤晒九宫格自拍照,墨绿色指甲油和手中的戒指实力抢镜,绝了
雷狮与安迷修
然而刘玉翠在5岁的时候,父亲就去世了,还是孩子的她就到处参加节目
张飞的扮演者李靖飞在二哥关羽的扮演者陆树铭逝世24天后因脑溢 - 抖
柳岩#明星生图大赏