图知网
搜索
首页
热门推荐
图片分类
磨字的楷书怎么写,磨的楷书书法 - 爱汉语网
下载原图
相关图片
"磨"字草书
磨楷书书法字典
磨字的楷书怎么写,磨的楷书书法 - 爱汉语网
单晓天写的磨字_单晓天磨字写法_单晓天磨书法图片_词典网
磨楷书书法字典
磨行书书法字典
为你推荐
去哪儿网成立新公司,北京趣拿100%控股
桂林资源县神姿仙态风云变幻的八角寨
【15图】南二环 盛世大厦 精装400平带家具 独立半层 好停车 西城
近代日本崛起前,如何铲除地方豪强的?
儿童相声演出服装马褂相声大褂五四民国长衫相声服中式长袍表演服 黑
从地狱到人间,百年前的中国是如何把一手烂牌打成王炸的?
【原创首发】游水泊梁山 觅水浒遗迹
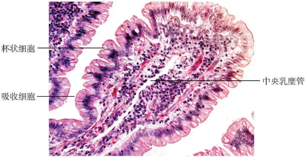
(一)黏膜小肠黏膜由上皮,固有层和黏膜肌层构成(图14-18~图14-22).