图知网
搜索
首页
热门推荐
图片分类
原位癌是怎么回事?它和浸润癌有何不同?哪个比较严重?
下载原图
相关图片
左面部皮肤(原位)癌一例.
高级别导管原位癌
保险哪些属于原位癌 保险不包括原位癌
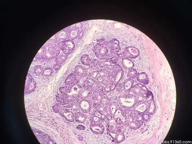
乳腺导管内原位癌讨论2017.08.21【91360乳腺病理沙龙病例讨论59】
乳腺导管原位癌病理图片
原位癌保险公司不保 保险公司说的原位癌和癌症
为你推荐
情侣头像超甜超可爱高清情侣头像动漫一人一半
六人兄弟头像
板写 > 天官赐福|平面|字体/字形|空谷有筝 - 原创作品 - 站酷
[游戏本体] 新皮肤[灵魂莲华]系列 高清原画壁纸
c3驾驶证能开什么车
中国青年五四奖章快看看哪些退役军人榜上有名
卫浴实品展示 (4)
混搭9平米小儿童房装修设计效果图