图知网
搜索
首页
热门推荐
图片分类
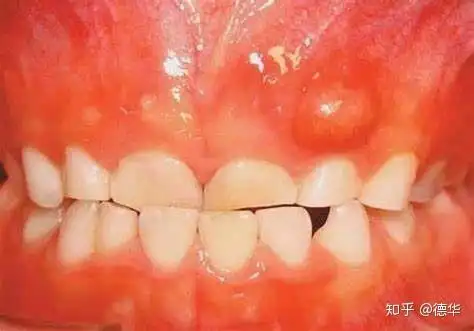
根尖脓肿
下载原图
相关图片
宝宝牙浆上长了个大包,看着感觉是脓包是怎么回事?
3岁4个月大的男孩宝宝,中间上门牙龈出现脓包,反复一直有
1,根尖脓肿的治疗:明确病灶牙之后,如果孩子配合可以在门诊的时候彻底
一例根尖周脓肿 - 口腔专业讨论版 -丁香园论坛
孩子牙根长个肉丁怎么回事 今早才发现
急性根尖周脓肿(本质:细菌感染)
为你推荐
关晓彤吻戏剧照.
男生纹理烫发77服帖烫
太空狼人杀图片 - 抖音
西湖雷峰塔
过敏性皮炎图片和症状
俄罗斯突然出击!大批部队现身叙利亚战区,车臣大兵阻止两国开战
5v,1a开关电源制作
女子晒170斤宠物猪同吃睡还接吻 网友质疑母猪可以长到近200斤?