图知网
搜索
首页
热门推荐
图片分类
游夷望溪水心寨【随感】 - 简书
下载原图
相关图片
夷望溪|誉为常德"小桂林"|看过不走弯路 夷望溪位于常德市桃源县境内
夷望溪——谁不说俺家乡好
桃花之源.夷望之溪
夷望溪
夷望溪
夷望溪
为你推荐
cartier卡地亚玫瑰金满天星钻石戒指52号 cartier卡地亚玫瑰金满天星
charm klooss2023年轻奢品牌小蜜蜂休闲鞋男运动透气平板男鞋子牛皮
有深度有涵养的人生哲理感悟人生的经典精辟句子
教师招聘北京市中关村中学
阔太太刺绣香云纱桑蚕丝外套夏女杭州真丝上衣中长款妈妈高端高贵
丰田小轿车5万一8万(推荐3款非常值得购买的丰田5) - 四帝国车市
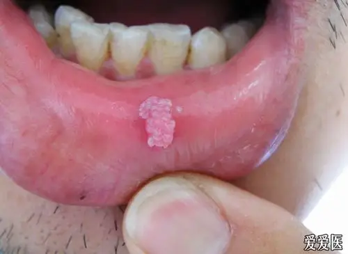
唇粘膜尖锐湿疣病例讨论研究
武汉旅游攻略9696来到武汉,黄鹤楼当然是必打卡的地方啦,小编教