图知网
搜索
首页
热门推荐
图片分类
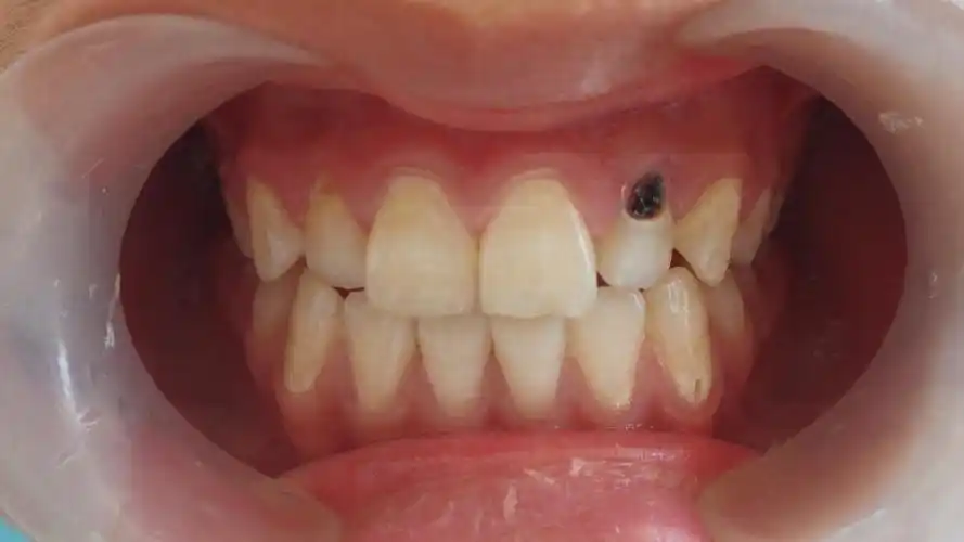
老年人常见口腔疾病这有几首顺口溜
下载原图
相关图片
得了龋齿什么情况可以直接补牙什么情况又需要做根管治疗
远中邻合面大面积龋坏至龈下,障下双成型片法龈壁提升,根管治疗 - 抖
治疗前:34颊侧及近中临面龋,33远中临面龋
残根的再利用基本情况:姓名,赵×,女,年龄35,职责,个体经商主诉:牙套
华西口腔医院重度龋齿根管治疗记录
龋齿蛀牙能严重到什么地步
为你推荐
为啥浅色衣服湿身后会变透明组图
红色大气伟大建党精神海报设计
>>年少有为—李荣浩
美丽中国之内贵州·梵净山(美景篇)
小时候的理想型就是越前龙马[蜜蜂狗] 17小时前·四川 1 分享 回复
同路人
200830谦友沙雕应援又出圈火星录制场外拉横幅喊话薛之谦
扑克牌5558