图知网
搜索
首页
热门推荐
图片分类
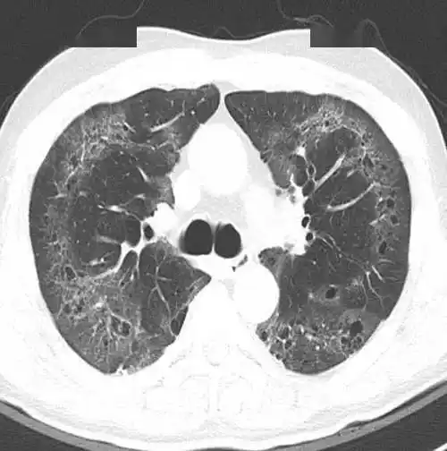
间质性肺炎
下载原图
相关图片
间质性肺炎的典型图谱最全解析
脱屑性间质性肺炎dip
肺间质改变的基本ct表现
sle~间质性肺炎
间质性肺炎(interstitial pneumonia)
这个间质性肺炎还挺少见的
为你推荐
112再来一组精美盔甲嗨起来
张真源 运动会 - 堆糖,美图壁纸兴趣社区
于文文台上唱体面下面却有失体面
这个查克拉,我斑愿称你为最强!
便秘怎么办吃什么能通便便秘食疗
safeware/安赛瑞__标准安全标识_高性能不干胶采购_报价_工邦邦
零基础学美甲|蝴蝶结96手绘控笔|飘逸气.今天老师给大家分享 - 抖音
如何快速学习蛙泳