图知网
搜索
首页
热门推荐
图片分类
小凉帽两个坏蛋做贼心虚偷菜被阿凉发现看你们往哪跑
下载原图
相关图片
小凉帽37订阅小凉帽系列动画是深圳华侨城文化集团有限
看嘉佳卡通,小凉帽陪你开启魔法暑假!
凉帽女夏季薄款草帽夏天戴的帽子时尚小清新文艺夏季洋气潮流个性
【活动】第一期"小凉帽"绘本工作坊招生啦|平面-ui
小凉帽跻身国际知名ip小凉帽开创的"东方乡土魔幻"时
小凉帽:奶奶熬的绿豆汤,可以对付秋老虎,阿妹再也不
为你推荐
张艺兴站姐 鹿晗
狗头_微信头像_我要个性网
圆柱形的灯罩覆盖着丝绸面料颜色的砖烛台.
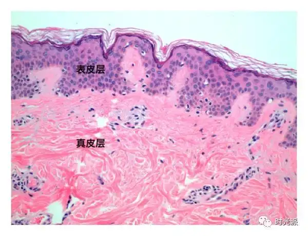
皮肤分三层:表皮层(epidermis),真皮层(dermis),皮下组织层
《信靠依顺歌》简谱
54岁的巩俐吊打22岁的关晓彤,黑眼圈,法令纹真的是衰老的致命题!
穿褴褛制服的卡通男人矢量素材-高清图片-摄影照片-寻图免费打包下载
现代简约实木床18米双人床现代中式15米白色床储物高箱床式卧室家具