图知网
搜索
首页
热门推荐
图片分类
广州卡威尔酒店预订,广州卡威尔酒店地址_电话 - 蚂蜂窝无线官网
下载原图
相关图片
酒店卡威尔酒店就是一个不错的选择~-99酒店环境刚走到酒店门口
广州卡威尔酒店,买它!降价狂欢,4.4分推荐,自助双人晚餐套 - 抖音
广州卡威尔酒店,买它!降价狂欢,鲍鱼捞饭套餐,超值折扣,随时 - 抖音
广州卡威尔酒店,买它!降价狂欢,烤肉单人午餐套餐,超值折扣, - 抖音
广州卡威尔酒店,买它!降价狂欢,鲍鱼捞饭套餐,超值折扣,随时 - 抖音
广州卡威尔酒店,热销团购,不容错过,多人10人包房,随时退· - 抖音
为你推荐
请签收 超魔性的跳舞小人
普通的1月24日成为了法定夫妻,没有选择在纪念日结婚,是为了在余生多
刷墙是个技术活儿,怎么刷是个问题,刷什么也很关键.
go to 浙江大华技术股份有限公司 profile
台湾十大旅游景点排名 台湾最美景点介绍
无限纷争氪金人物分析第四期天锁斩月
最好的六一礼物南京市芳草园小学举行红领巾心向党争做新时代好队员
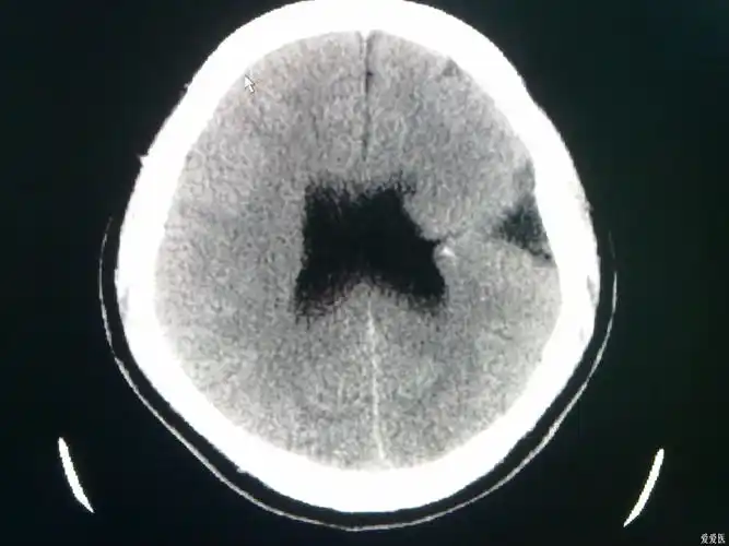
今天做到的病例脑裂畸形