图知网
搜索
首页
热门推荐
图片分类
tsth-916扁键次中音号|山东泰山管乐器|龙口萨克斯|山东泰山管乐器
下载原图
相关图片
jazzor爵士朗扁键次中音号jzbr-1210 降b调 次中音号 漆金管乐
xbh-210型bb调扁键次中音号【专用黄铜 3支旋转活塞】
津宝扁键次中音号降b调次中音号乐器漆金jbbr1211
爵士朗次中音号乐器降b调扁键小抱号乐器jzbt-310g漆金三扁键乐器-mc
泰山bb扁键次中音号-tsth-916漆金(2600元)
这是中音号,也叫次中音,比大号小,音相对大号也高.
为你推荐
漂亮史高级美商王子文
人生建议:养一只可爱的我 爱你.
梁朝伟成金鸡奖"影帝",为什么网友称为迟到的影帝?
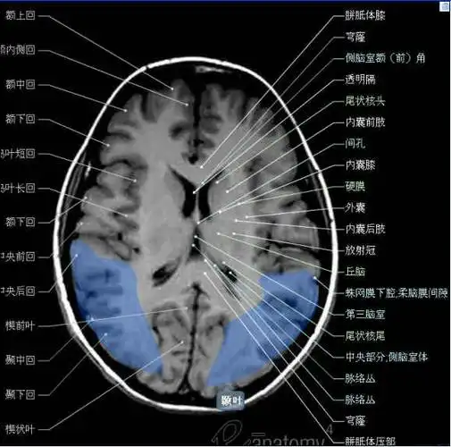
神经解剖| 头颅mr轴位解剖图_手机搜狐网
素描大师头像作品选集,让你大饱眼福
好看特别的手指纹身图片9张
墙面手绘环创插画涂鸦
这个是银渐层和橘猫的的串吗? - 知乎